الرئيسية     | الشروط والقوانين  | سياسة الخصوصية | اتصل بنا | الأرشيف |  RSS
  

 


العودة   منتدى الشبكة الكويتية > القـســـــــــم الثـقافــي > منتدى الطب و الصحه

منتدى الطب و الصحه كل ما يخص بصحة الانسان والادويه , والنصائح الطبيه

 
أدوات الموضوع
  #1  
قديم 12-06-2005, 05:50 AM
الصورة الرمزية DeviL
DeviL DeviL غير متصل
عضو فعّال
 





DeviL كاتب جديد
إرتــجــاع حــامــض الــمــعــدة (الحارج , حُرقة الفؤاد) Devil

إرتــجــاع حــامــض الــمــعــدة (الحارج , حُرقة الفؤاد)


السلام عليكم..

مرض ارتجاع حموضة المعدة يحدث عن اندفاع عصارة المعدة والتي تحتوي على حموضة عالية إلى أسفل المريء . ويشتكي معظم المرضى عادة من آلام وحرقان في المنطقة السفلية من الصدر أو كما هو متعارف عليه يشعر المريض بالحرقان . وعندما تكون كميات العصارة المرتجعة كبيرة ومتكررة على مدى فترة طويلة من الزمن تبدأ بطانة المريء بالالتهابات المزمنة والتي سوف نتعرض إليها لاحقا .

وعادة يشعر المريض بحرقان في المنطقة السفلية من الصدر، ولكن في بعض الأحيان يشعر المريض بأعراض أخرى أهمها مراره في الطعم، أو صعوبة في البلع، أو تغيير في نبرة الصوت، أو ربو متكرر أو ضيق في التنفس، أو آلام في الصدر شبيهة بالذبحة الصدرية، أو التهابات متكررة في الحنجرة والقصبات الهوائية .

يصيب هذا المرض عدد كبير من السكان وتقدر الإحصائيات أن 40% من الناس يشتكون من حرقان لبعض الوقت، و يكون المرض شديداً في أقل من 10% من السكان .



صورة بالمنظار للجزء السفلي للمريء (طبيعي).

كيفية علاج مرض ارتجاع حموضة المعدة ؟

في كثير من الأحيان، يستطيع المريض بمساعدة الطبيب الأخصائي بالسيطرة على هذا المرض عن طريق تغيير نمط الحياة، وأنواع الأكل وتعاطي أنواع من الأدوية الخاصة وهذا يتلخص في

الخطوات التالية :

1- تجنب بعض المأكولات: التي ينتج عن تناولها ارتجاع في المريء مثل الكاكاو، والشاي، والقهوة، والبهارات، والنعناع، والأكلات الدهنية، والطماطم، وعصير البرتقال والليمون، والمشروبات الكحولية .

2 -تجنب التدخين: حيث أن النيكوتين يهيج غشاء المعدة لإفراز حموضة عالية، كما أن نفس المادة تقوم بارتخاء الصمام السفلي للمريء والذي ينتج عنه ارتجاع في الحموضة .

3- الحمية الغذائية: لخفض الوزن إلى الوزن الطبيعي، باستشارة الطبيب .

4- تجنب الأكل عموما قبل النوم: بمدة لاتقل عن 2-3 ساعات .

5- تناول بعض الأدوية: الخافضة للحموضة ومتوفرة مثل الشراب الأبيض الخافض للحموضة، أو حبوب خاصة لخفض الحموضة في المعدة مثل التاجاميت، الزانتاك، البيسيد، أوالأكسد وكذلك اللوسك، واللانزور، أو البانتازول .

متى يجب أن تعرض نفسك على استشاري الجهاز الهضمي ؟
عندما يكون الحرقان مستمرًا، ومتكررًا لأكثر من مرتين أسبوعيا ويسبب الإزعاج وبعد محاولة تغيير نمط الحياة ونمط الغذاء عندها يجب مراجعة الاستشاري .

إن الإهمال في هذه الحالات يعرض بطانة المريء إلى بعض المضاعفات الجانبية والتي يمكن تجنبها عند الفحص المبكر . ومنها الآلام الشديدة في المنطقة الصدرية الشبيهة بآلام القلب، تضيق المريء، نزيف جدار المريء، وتغييرات في بطانة المريء .

إن بعض الأعراض الجانبية عادة تدل على مضاعفات جانبية خطرة وأهمها صعوبة البلع وهو شعور المريض بعدم القدرة على إنزال النزيف وهذا ينتج عن التهابات مزمنة وتقرحات في جدار المريء ،الشرقة المتكررة وهذا ناتج عن اندفاع حموضة المعدة ومحتويات المريء من أكل وفضلات أخرى إلى القصبة الهوائية، وينتج عنه السعال المتكرر، وضيق في التنفس وتغيير في الصوت .

ما هي التحاليل الضرورية لتشخيص الحالة ؟

من الممكن أن يحتاج الطبيب الاستشاري إلى بعض الفحوصات المخبرية الخاصة مثل :

1.الأشعةفي هذا التحليل يتناول المريض صبغة خاصة وبعدها يقوم أخصائي الأشعة بأخذ صور خاصة للمريء وعادة لا يحتاج هذا التحليل إلى أي أدوية وريدية أو أدوية مهدئة .

2.منظار المريءوفي هذا التحليل يقوم استشاري الجهاز الهضمي وبعد إعطاء المريض بعض الأدوية المهدئة في الوريد لفحص بطانة المريء، والمعدة والاثنى عشر عن طريق إدخال جهاز المنظار وهي أنبوبة رفيعة من فتحة الفم وهو من أهم التحاليل للتعرف على كثير من أمراض المريء .

3.الفحص الحركي للمريء: وفي هذا التحليل يقوم الدكتور المختص بإدخال أنبوبة خاصة عن طريق الأنف لفحص الحركة ويستغرق هذا التحليل تقريبا النصف ساعة .

أما فحص درجة الحموضةفيستغرق وقت التحليل 24 ساعة، يقوم المريض بعد تثبيت الأنبوبة من الأنف بحياته اليومية بصورة طبيعية .




صورة بالمنظار لأسفل المريء, لاحظ إحمرار و هشاشة البطانة و تضيق إسطواني في المريء, و ذلك من تأثير إرتجاع حمض المعدة.


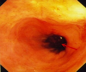
صورة بالمنظار لأسفل المريء, لاحظ إحمرار و هشاشة البطانة, و إرتخاء صمام المريء (السهم الأحمر) السفلي و تجعد أطرافه, مما يسبب إرتجاع حامض المعدة مسبباً الإلتهاب.


صورة بالمنظار لأسفل المريء, لاحظ إحمرار و هشاشة البطانة, و إرتخاء صمام المريء (السهم الأحمر) السفلي و تجعد أطرافه و الذي يظل مفتوحاً, مما يسبب إرتجاع حامض المعدة مسبباً الإلتهاب.

إن علاج مرض ارتجاع حموضة المعدة في أغلب الأحيان يكون عن طريق أدوية خاصة لخفض الحموضة، ولكن وفي بعض الحالات الخاصة وبعد دراستها من قبل استشاري الجهاز الهضمي من الممكن أن ينصح الدكتور بعمل عملية خاصة لعلاج .هذا المرض .



نتمنى للجميع دوام الصحة والعافية

 

 

الصور المرفقة
<phrase 1="bmp">نوع الملف: %1$s</phrase> 11111111111.bmp‏         
<phrase 1="bmp">نوع الملف: %1$s</phrase> 22222222222222.bmp‏         
<phrase 1="bmp">نوع الملف: %1$s</phrase> 333333333333333.bmp‏         
<phrase 1="bmp">نوع الملف: %1$s</phrase> 444444444444.bmp‏         
ملاحظات الإدارة قبل تحميل المرفق: 1- أفحص الملف المرفق بأي برنامج مضاد للفيروسات قبل فتحه
2- راسل الإدارة العامة للمنتدى أو المشرف العام حولـ أي ملف مرفـق فيه فايروس أو مشكوك فيه
3- إدارة المنتدى لا تتحمل مسؤولية أي ملف مرفق

قديم 12-06-2005, 10:48 AM   رقم المشاركة : 2
Nathyaa
من المؤسسين
 
الصورة الرمزية Nathyaa






Nathyaa غير متصل

Nathyaa كاتب مميزNathyaa كاتب مميزNathyaa كاتب مميزNathyaa كاتب مميزNathyaa كاتب مميزNathyaa كاتب مميز


افتراضي

الله عليك ياااااااااااااااااااااااااااااااااااااااااارائع

بصراحه موضوع اكثر من رائع

الله يعطيك مليون الف عافيه يارب ولا ننحرم منك







التوقيع

Nathyaa

قديم 12-06-2005, 01:41 PM   رقم المشاركة : 3
~*~عاطفية~*~
عضو الماسي
 
الصورة الرمزية ~*~عاطفية~*~






~*~عاطفية~*~ غير متصل

~*~عاطفية~*~ كاتب رائع~*~عاطفية~*~ كاتب رائع


افتراضي

اول شي نورت المنتدي بعد طول غياب

ثانيا الله يعطيك العافية على الموضوع







قديم 12-06-2005, 02:38 PM   رقم المشاركة : 4
g6waa
عضو الماسي
 
الصورة الرمزية g6waa






g6waa غير متصل

g6waa كاتب رائع


افتراضي



دفــــــــــــل انت ابو التألق كله

:a146:..g6waa:a146:







التوقيع

قديم 13-06-2005, 02:04 AM   رقم المشاركة : 5
DeviL
عضو فعّال
 
الصورة الرمزية DeviL






DeviL غير متصل

DeviL كاتب جديد


افتراضي

الله يعطيكم العاااااااااااااااااااااااااااااااااافيه يارب ولا يحرمنا منكم

مشكورين على مروركم الداااااااااائم يارب


سي يو ديفل







مواضيع ذات صله منتدى الطب و الصحه

إرتــجــاع حــامــض الــمــعــدة (الحارج , حُرقة الفؤاد) Devil



الذين يشاهدون محتوى الموضوع الآن : 1 ( الأعضاء 0 والزوار 1)
 
أدوات الموضوع

تعليمات المشاركة
لا تستطيع إضافة مواضيع جديدة
لا تستطيع الرد على المواضيع
لا تستطيع إرفاق ملفات
لا تستطيع تعديل مشاركاتك

BB code is متاحة
كود [IMG] متاحة
كود HTML معطلة

الانتقال السريع

المواضيع المتشابهه
الموضوع كاتب الموضوع المنتدى مشاركات آخر مشاركة
احذروا التمارين الرياضية في الخارج ريكارد9 المنـتدى العـام 0 24-11-2019 03:18 PM
بأي ذنب حُرقت ؟ / صورة VIP قسم المواضيع الغريبه 8 22-02-2006 08:27 PM
الكلام الجارح؟؟؟؟؟؟؟ لماذا DeviL منـتدى الأ ســرة 3 28-10-2005 01:17 PM
DeviL:-هل انت طيب ؟؟؟؟ DeviL منتدى الطب و الصحه 4 14-05-2005 08:16 PM

الساعة الآن 03:41 AM
جميع الحقوق محفوظة لـ الشبكة الكويتية

التعليقات المنشورة لا تعبر عن رأي الشبكة الكويتية ولا نتحمل أي مسؤولية قانونية حيال ذلك ويتحمل كاتبها مسؤولية النشر

RSS RSS 2.0 XML MAP HTML